22 year old lady with muscle weakness, renal insufficiency and proteinuria
freecme000
Published on Jan 17, 2025
CC 22-yr-old Hispanic lady presents with proximal muscle weakness, arthralgia, low-grade fevers, and dry mouth, eyes and difficulty swallowing.
EXAM - BP 142/92 mmHg , thick and tight skin on the fingers, oral ulcers. Rest WNL
LABS
>creatinine of 2.1 mg/dl,
>24-h urine protein of 2.6 g,
>UA - positive for RBC, no casts
>ANA is positive, with a speckled pattern at a titer of 1:1100.
>Anti– Dss DNA, Sm, Cardiolipin Ab /Hep/Anti GBM / ANCA/Cryoglobulin negative
>RNP-ENA antibodies and U1RNP antibodies are strongly positive,
>complement -mild decrease in C3/normal C4
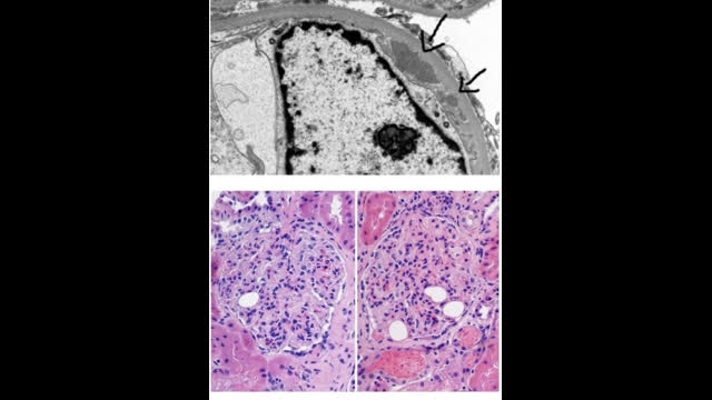
RENAL BIOPSY
-Diffuse proliferative GN changes
-EM - extensive sub endothelial deposits.
-IF positive for C3 ,C1q, IgG
BEST NEXT STEP IN MANAGEMENT OF THIS PATIENT IS
A. Voclosporin plus MMF plus tapering steroids for 6 months followed by MMF maintenance
B.500 mg IV cyclophosphamide every 2 weeks for 6 doses followed by MMF maintenance
C. 3 gm per day MMF daily plus tapering oral prednisone for 6 Mo followed by MMF maintenance
D. Belimumab plus MMF for 6 Mo followed by MMF maintenance
CLICK ON LINK BELOW FOR ANSWER
https://renal.medcase.com/free_cme/22-year-old-lady-with-muscle-weakness-renal-insufficiency-and-proteinuria/
- Your Subscription
freecme000 -
Share Case Quiz
Add to
Download Case Quiz
Flag Case Quiz
Rate case quiz
Rate case quiz
Up next
Recommended
-
Watch Later
38 year old athelete with hyponatremia, Chest tightness, SOB and cough.
104 views 474 days ago
