Promoted Case Quizzes
-
Watch Later
Multiple-bilateral-renal-calculi and medullary-nephrocalcinosis
freecme000167 views 489 days ago
Recent Case Quizzes
-
Watch Later
35 year old lady post renal transplant with diarrhea, weight loss and anasarca.
freecme000103 views 489 days ago -
Watch Later
48-year-old man presents with acute onset right flank pain and nephrotic syndrome
freecme000125 views 489 days ago -
Watch Later
Multiple-bilateral-renal-calculi and medullary-nephrocalcinosis
freecme000167 views 489 days ago -
Watch Later
Diabetes patient with AKI, right flank pain and gross hematuria.
freecme000251 views 489 days ago -
Watch Later
77-year-old man with a type 2 DM presents with worsening renal function and proteinuria
freecme000125 views 489 days ago -
Watch Later
78 year old male with metastatic myeloma presenting with AMS , polyuria and neutropenic fever.
freecme000107 views 489 days ago -
Watch Later
55-year-old male with post renal transplant with worsening renal function, HTN and gout attacks.
freecme000102 views 489 days ago -
Watch Later
77-year-old male with HTN & recent TIA has AKI & hyperkalemia
freecme000102 views 489 days ago -
Watch Later
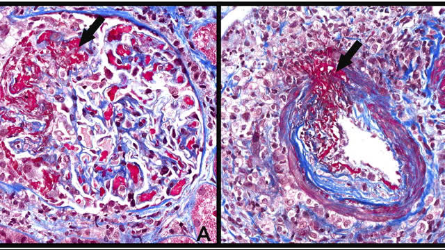
CC - A 52-yr-old Hispanic man is found to have rising antineutrophil cytoplasmic autoantibody (ANCA)
freecme000151 views 489 days ago -
Watch Later
38 year old athelete with hyponatremia, Chest tightness, SOB and cough.
freecme000108 views 489 days ago -
Watch Later
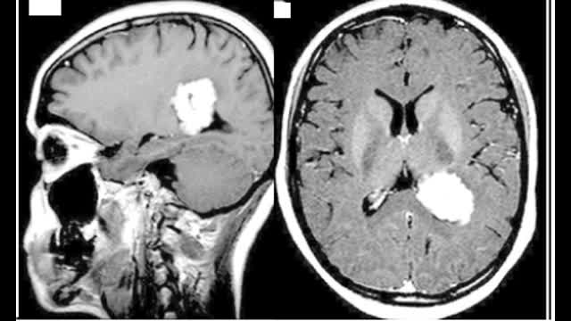
A 55-year-old woman presented to the Emergency Department with tinnitus, vertigo, nausea, vomiting, and weakness.
freecme000117 views 489 days ago