55-year-old male with Hyponatremia & melanoma
freecme000
Published on Jan 17, 2025
CC- 55-year-old male presents with low back pain due to retroperitoneal para-aortic nodal metastasis.
HPI - 55-year-old male with metastatic malignant melanoma was started on immune check point inhibitor therapy with pembrolizumab (2 mg/kg) at 3 weekly intervals. After four cycles (12 weeks) serum sodium dropped to 123(Baseline 142 mmol/L). He also complained of headache, fatigue, anorexia, weight loss, diplopia & dizziness symptoms.
EXAM- Alert/awake, BP 125/75, RR17, Pulse 75, moist mucous membranes, no JVD, No Edema - CNS -No focal deficits, ABD - mild epigastric discomfort on deep palpation, CVS/RS - normal exam, SKIN - melanoma lesion left shin
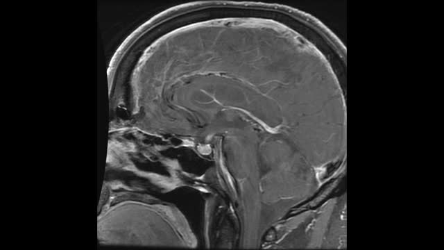
IMAGING - MR brain images show a diffusely thickened pituitary stalk and a larger than expected pituitary gland for age, which are otherwise normal in signal intensity on T1 and T2 weighted images. The gland and stalk both demonstrate avid enhancement on post-contrast imaging. (see image).
LABS Value Reference
Sodium, mmol/L 123 (136-145)
Potassium, mmol/L 4.5 (3.5-5.3)
Bicarbonate, mmol/L 22 (21-32)
Chloride, mmol/L 104 (98-107)
Creatinine, mg/dL 0.6 (0.5-1.3 )
Free T4 ng/dL 0.6 ( 0.9-2.3)
Aldosterone, ng/dL 11 (7.0- 30.0)
TSH, mIU/L 0.25 (0.44-3.98)
ACTH, pg/mL 7.8 (7.2-63.3)
Cortisol AM, μg/dL 6.5 (2.5-20.0)
Hematocrit 45 (41- 50)
Urine Na mmol/L, 55
Urine osmolality mosmol/kg. 425
ACTH stim test (250 mcg) - subnormal result
Cortisol at 30 min = 10 μg/dL
Cortisol at 60 min = 15 μg/dL
The most likely cause for Hyponatremia in this patient is
A. primary adrenal insufficiency due to adrenal metastases
B. Secondary adrenal insufficiency due to pituitary disease
C. Hypothyroidism
D. Cerebral Salt wasting
CLICK ON LINK BELOW FOR ANSWER
https://renal.medcase.com/free_cme/55-year-old-male-with-hyponatremia-melanoma/
- Your Subscription
freecme000 -
Share Case Quiz
Add to
Download Case Quiz
Flag Case Quiz
Rate case quiz
Rate case quiz
Up next
Recommended
-
Watch Later
38 year old athelete with hyponatremia, Chest tightness, SOB and cough.
103 views 474 days ago
